Blanchiment
Eclaircissement en 1 semaine
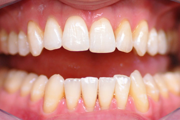
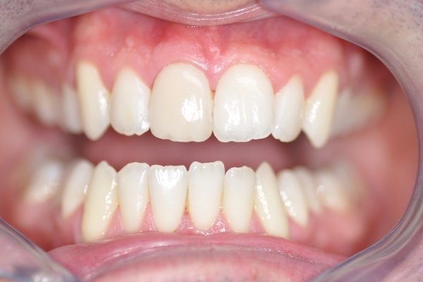
Blanchiment : gain de 3 teintes
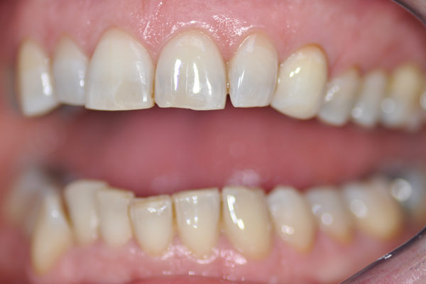
Blanchiment interne de dent dévitalisée plus composite
Restauration du sourire par composite dentaire
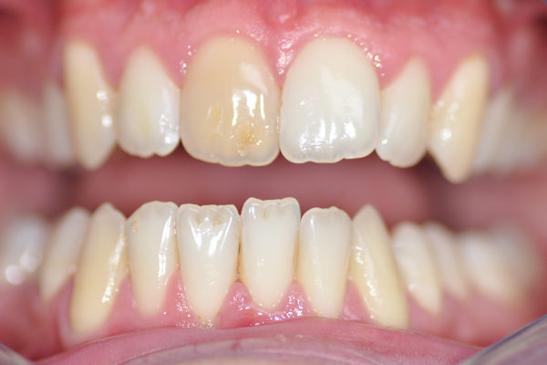
Une facette après éclaircissement dentaire
10 facettes céramiques mâchoire supérieure
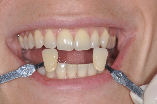
Facettes céramiques des 4 incisives (teinte choisie par patiente)
Facettes Pelliculaires
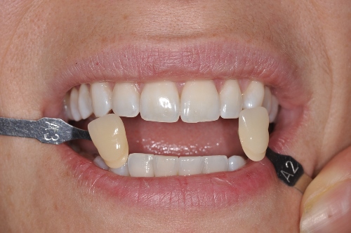
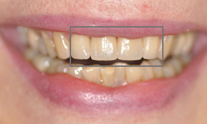
3 couronnes céramiques restaurées dans la teinte des dents de la patiente
Cas traité par Orthodontiste incognito plus blanchiment dentaire
10 facettes céramiques mâchoire supérieure
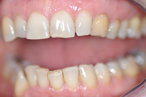
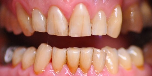
La patiente ne voulait pas blanchir ses dents ; la teinte d’origine a donc été reproduite.























